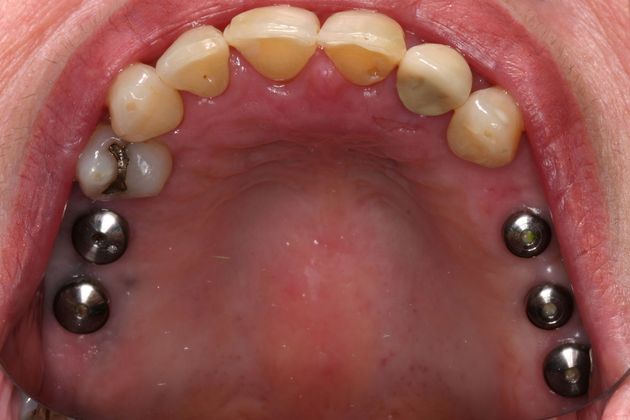
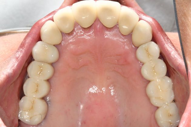
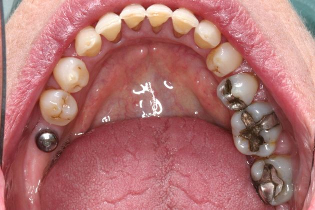
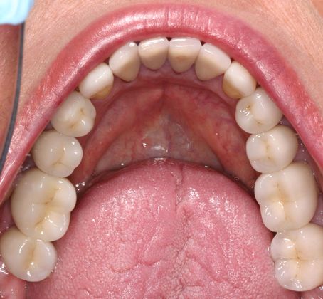
Implant Restorations: Case 2
Description
This patient was missing most of her upper back teeth and some of her lower back teeth. Implants were placed, her existing teeth were crowned, and the implants were restored to give her all new chewing surfaces.





