Veneers
Are you unhappy with the appearance of your smile due to discoloration, misalignment, gaps, or irregularly shaped teeth?
Porcelain veneers are an effective cosmetic dentistry treatment that can mask flaws and almost instantly transform your smile.
Find out how Drs. Hadden and Whidden, LLC can help you achieve a more attractive smile with veneers in Vernon and Coventry, CT.
What Are Veneers?
A veneer is a thin restoration that completely covers the front surface of a tooth to mask dental flaws like chips, stains, or slight misalignment. Laboratory technicians fabricate each veneer out of high-quality dental porcelain to precisely fit the tooth and improve the appearance of the entire smile.
Veneers are a cosmetic solution and are not intended for restorative purposes. For this reason, they are only used on the anterior teeth, or those that are most visible when a patient smiles. Depending on your goals for treatment, we may recommend a single veneer or up to eight.

Top 3 Benefits of Porcelain Veneers
Quick, Non-Invasive Treatment
Dental veneers can be used to achieve an attractive and well-aligned smile without the need for lengthy orthodontic treatment or other more invasive procedures.
Natural-Looking Results
Veneers are incredibly natural-looking and are more color-stable than cosmetic bonding. The porcelain material is highly aesthetic, and the resulting dental veneers are very thin, ranging from 0.3mm to 0.5mm in thickness.
Long-Lasting Enhancement
Dental veneers are resilient and have a life expectancy of 15 to 20 years with proper care. The porcelain material we use is stain-resistant and very durable.
Excellent Reviews From Vernon and Coventry Patients
As a new patient, I had a great experience at Hadden and Whidden. The front office staff members were welcoming and helpful. The dental hygienist was very knowledgeable and gentle while thorough. Dr. Whidden was personable and professional. I appreciated the conversation I had with him and how he was able to answer all of my questions. Would definitely recommend this practice!
View on Google
Have been seeing Dr.Whidden almost 15 years now since I was a child. He’s amazing and so is his staff. As someone that has always dreaded going to the dentist lol… I look forward to my visits with Dr. Whidden ! Very kind and knowledgeable Dental practice. I wouldn’t trust anyone else !
View on GoogleInterested in Veneers? Request Your Free Consultation Today
Porcelain veneers are a great option for most patients who want to address minor imperfections quickly and effectively. At the practice of Drs. Hadden and Whidden, LLC, with dental offices in Vernon and Coventry, CT, patients can trust our dentists' decades of dental experience and hands-on skill in the placement of porcelain veneers.
To request a free consultation and find out more about how porcelain veneers can help you, contact our dentistry practice online or call us at:
(860) 875-2881

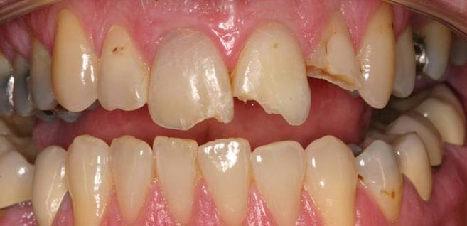
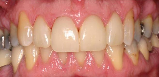
Veneers in Action
Giving Patients Back Their Smiles More 5-Star Reviews From Vernon and Coventry
Low-Interest Financing To Keep Your Veneers Affordable
Veneers are purely cosmetic, so they aren't covered by insurance. We help patients afford care by accepting CareCredit® financing. Depending on your credit history, you can obtain a loan with low or no interest repayable in convenient monthly installments.
Premium Materials For Stunning Results
/
Our veneers are made of IPS e.max®, a dental ceramic noted for its exceptional durability and lifelike aesthetics. IPS e.max is stronger than traditional porcelain, which means your veneers will be less likely to chip or crack. This material is also easily customizable in terms of shape and shade, so we'll be able to design restorations that flatter your individual appearance rather than provide a cookie-cutter solution.
Like What You See? Get Started on Your Own Dream Smile
Beautiful smiles don't happen by accident—there's work that goes into those winning grins you see in the movies and on TV. But high-quality aesthetic dentistry isn't just for the stars. If you'd like to enhance the look of your own teeth, you absolutely can, and a set of custom veneers may be just what you need.
Contact our dentists online to get a full understanding of what's possible for your smile with veneers. You can also call our practice with offices in Coventry and Vernon at:
(860) 875-2881
More Top Reviews For Our Cosmetic Dentists
Beautiful, exceptionally clean office with an amazing staff. Admittedly beyond impressive for any dentistry facility I have been to before. The customer service is phenomenal. I would highly recommend.
View on Google
Both Therese (dental hygienist) and Dr. Wiegard are a pleasant to work with. They are both professional, caring and take their time to discuss your treatment and plan with you.
View on GoogleThe Veneers Treatment Process
Dr. Eric Whidden trained at the Spear Center for Cosmetics, an elite educational institution for aesthetic dentists. He has completed hundreds of hours of continuing education in this area of dentistry.
Dentistry to Fit Your Needs Explore Alternative Treatment Options
We want to ensure that patients receive the best care possible and enjoy results that last for years to come. However, in some cases, veneers may not be the right fit for your specific concerns. Our dentists in Coventry and Vernon provide comprehensive treatment options to help you achieve a beautiful and functional smile. Here are some alternatives to dental veneers:

Dental Crowns
A dental crown is a porcelain shell that fits over a tooth. They're a fantastic option to restore the function and aesthetics of any tooth. Unlike veneers, dental crowns are appropriate for back teeth since they are designed to withstand stronger bite forces. This versatile treatment can also be paired with a dental implant to replace a single missing tooth.

Dental Bonding
Dental bonding is a treatment that can restore the shape and form of a slightly damaged tooth. Your dentist molds a tooth-colored resin material to your tooth and cures it with a special light. Dental bonding conceals the same issues that veneers do, but it is typically more affordable, making it an excellent option for patients on a budget or for those who are not ready to commit to more permanent treatment.
Frequently Asked Questions About Dental Veneers
Q. How long do porcelain veneers last?
A. With proper care and maintenance, your dental veneers can last for 15 years or even longer. However, please remember that any restoration will wear over time and will eventually need to be replaced. Our team in Coventry and Vernon will be here to help when the time comes.
Q. Does veneer placement hurt?
A. No, veneers are a practically painless cosmetic dentistry treatment. Your dentist will thoroughly numb the area before treatment begins to ensure your complete comfort as they remove small portions of enamel. For patients who have dental phobia or anxiety, our offices in Vernon and Coventry, CT, provide sedation dentistry services to help.
Q. What do I do if my veneer becomes loose or pops off?
A. If your veneer becomes loose, contact us as soon as possible so we can bond it back into place. If your porcelain veneer falls off your tooth, locate and place it in a dry container to prevent damage. In many cases, if the veneer is undamaged, your dentist can simply rebond it to the tooth.
Q. Will foods and drinks stain my porcelain veneers?
A. While porcelain is durable, it can stain over time when exposed to things like red wine, coffee, and tobacco. It is best to minimize your consumption of staining foods and drinks or brush as soon as you are done consuming them. We highly recommend that you stop using tobacco products to maintain not only the beauty of your restored smile, but also the health of your teeth, mouth, and gums.
Have more questions, or are you ready to see if veneers are right for you?
Quality Dentistry in Vernon and Coventry
Everyone is friendly and caring. Love all the staff! Also I always get the best dental care and latest technology.
View on Google
I always have a positive experience in this office, and today was no exception . No stress, no discomfort. Dr. Whidden and Stephanie put my mind at ease and worked quickly and efficiently. Best dental office!
View on Google





