Delivering High-Quality Dentistry in Vernon and Coventry, CT
On the search for a new dentist? Your search is over! For over 30 years, our dentists have offered patients a state-of-the-art, scientifically-based dental experience filled with compassion, warmth, and trust. Our team of professionals provides patients cosmetic and restorative dentistry services at our Vernon and Coventry, CT, dental offices. This allows our dentists to give our valued patients a second chance at a beautiful smile.
Our dedicated, experienced team has revolutionized the journey to dental health and extends the passion for what they do to all our patients. Our patients are the most valuable asset to our practice. Each member of our team strives to deliver the best care in a comfortable, relaxed, and stress-free environment.

Why Go to Kois-Trained Dentists Such as Dr. Hadden and Dr. Whidden
Learn more about what this prestigious type of training means for our patients.
Our Specialty Is Delighted Patients
"Drs. Haden & Whidden Route 44 Coventry Connecticut Dental office are the most professional and most accommodating dentist we have ever had. We are so appreciative that they took us all at same times. We come from Massachusetts and it’s an hour and a half drive to the dentist office and we would do it no matter what. The receptionist at the front desk went out of her way to make this happen. The dental hygienist spend a lot of time with you, and they always make you feel very comfortable. The dentist always do a complete examination.
Pam Dean
We are three very content patients who return every six months year after year."
Eric Whidden, DDS

Growing up in Ellington, CT, Dr. Eric Whidden developed an interest in the field of dentistry early in his childhood. During his studies at Connecticut College, Dr. Whidden won numerous Connecticut State Science awards before graduating with high honors and awards for academic excellence and community service. Attending the Medical College of Virginia School of Dentistry, he served as class president before graduating first in his class with Dean's High Honors. He was also inducted into the Omicron Kappa Upsilon Dental Honors Society Supreme Chapter, which is the highest honor a dental graduate can achieve. Dr. Whidden is a member of professional associations including:
- The Kois Center - Advancing Dentistry Through Science
- The American Academy of Cosmetic Dentistry
- The American Dental Association
- The Connecticut State Dental Association
- Hartford Dental Society
- Tolland Dental Society

Alison Hadden, DMD

A native of Charleston, South Carolina, Dr. Alison Hadden graduated as valedictorian of her high school class. After attending Wofford College in Spartanburg for her undergraduate studies, Dr. Hadden graduated summa cum laude with induction into the Phi Beta Kappa society. Moving on to the Medical University of South Carolina's College of Dental Medicine, she earned her doctorate, graduated third in her dental school class, and was inducted into the Omicron Kappa Upsilon Dental Honors Society. Following completion of her General Practice Residency at Meriter Hospital in Madison, Wisconsin, Dr. Hadden moved to Connecticut in 2009. Dr. Hadden is a member of professional associations including:
- American Dental Association
- Connecticut State Dental Association
- Tolland County Dental Society

David Wiegard, DMD
Dr. Wiegard grew up and continues to reside in Farmington, CT. He graduated Magna Cum Laude from Tufts University with a degree in Electrical Engineering. He continued his education at the University of Connecticut School of Dental Medicine where he earned his Doctor of Dental Medicine degree. While at UConn, he participated in numerous volunteer groups and teaching opportunities including the Connecticut Mission of Mercy and the Special Olympics of Connecticut. After graduating from UConn, he completed a General Practice Residency at Danbury Hospital in Danbury, CT.

Affiliations & Training
Held by Our Dentists
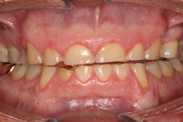
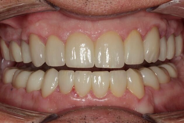
Comprehensive Dental Care
Providing Dental Care for Your Whole Family
A smile has an incredible influence not only on how you are perceived by others, but how you perceive yourself. A healthy, beautiful mouth is much more than simply straight, white teeth. It involves a proper bite relationship (occlusion), joint and muscle comfort (TMJ), and proper soft tissue (gum) health. Our Vernon and Coventry, CT, dentists are dedicated to providing cosmetic dentistry and restorative procedures that can restore your smile to optimum health and appearance.
Our dentists accomplish this goal by developing individualized treatment plans based on your specific clinical needs and incorporating your own dental goals. This systemic approach involves exceptional care and time. If necessary, our dentists will work with the best specialists in the area to provide you the dental care you need.
We strongly promote prevention techniques, utilizing the most up-to-date scientific methods to control oral disease. This minimizes the amount of dental care you may need in the future. The passion for excellence provided by our dentists extends to all ages, from children to seniors. We strive to deliver you the best treatments to support your oral and overall health in a safe and caring environment.

To schedule your initial complimentary consultation for one of our cosmetic or restorative dentistry services, contact our Vernon or Coventry, CT, offices online, or call:
(860) 875-2881
We Make the Patient Experience Enjoyable
"Everyone is friendly and caring. Love all the staff! Also I always get the best dental care and latest technology."
Lucy Spafford
Welcome to Our Practice Two Convenient Locations
From the moment you walk through the doors of our Coventry or Vernon, CT, offices, you can expect a welcoming and inviting environment. Our friendly dentists and each member of our staff will work with you to ensure that your experience is one that exceeds your expectations. Our specialty is creating a comfortable atmosphere for our patients.
Our dentists also understand that with your busy schedule, finding the time to ensure good dental health is often limited. Our staff strives to ensure that you are not only seen on time, but that your appointment finishes on schedule.
Take A Look Inside Our Office
More High Praise for Our Practice
"Always a great experience with this group. I have been going here for years and they are the best. I would not go anywhere else!" Heather Banks
Flexible Financing Options
To help patients manage out-of-pocket expenses, our dental offices in Vernon and Coventry accept financing through CareCredit®. Providing flexible payment plans ranging from six to 60 months, CareCredit allows patients to receive the care they need on their budget.
Our friendly office staff can gladly answer any questions you have about financing options during your next visit.
Access Patient Forms Online
Drs. Hadden and Whidden, LLC make it easy for patients to access forms online.













